比色板辅助photoshop综合比色方法
	           
			    
				  核心提示:使用比色板加上数码相机在透過 Adobe photoshop CS 软件辅助,可以帮助牙技师去挑选颜色,使用这种方式是利用 Adobe photoshop CS 的R、G、B三原色的色彩值(0~255,0~255,0~255)去比较出接近天然牙的色系。
	             
	
说到牙齿的比色,目前在牙技界有很多种方式,例如:使用比色机、数码相机及利用比色板作记录…等。使用比色机的成本可能比较高,成功机率或许也会高一些,大部分的牙技师应该还是使用比色板加数码相机的方式处理。如果能使用比色板加上数码相机在透过 Adobe photoshop CS 辅助,可以帮助助牙技师去挑选颜色,使用这种方式是利用 Adobe photoshop CS 的R、G、B三原色的色彩值(0~255,0~255,0~255)去比较出接近天然牙的色系。在比色过程也有许多需要注意的事项,有可能设涉及到色彩管理方式。而我们就以简单的临床的方式来说明比色步骤及注意事项及使用工具提供参考。
比色步骤及使用工具:
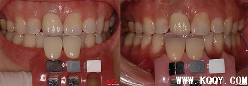
- 1. 比色时可选常用的比色板(如: VITA 3D、VITA、 IVOCLAR CHROMASCOP,松风Halo…等),这个案例是做#11的全瓷冠,使用VITA16色找出接近天然牙的颜色,请将相近的色板列出。
 - 
		2. 利用数码相机专用的Kodak18%灰卡,把它贴在牙肉色的支撐板上,并将接近的色板放入,如图。

 - 3.选择多颗接近的vita色板确定后与天然牙垂直平行对照,使用数码相机拍照,务必拍清晰的照片。
 - 
		

 - (我是使用Nikon D80,光圈22,快门125,ISO值100,焦段105mm的Micro镜头,手动对焦。) 在书白色AAA级演色值Ra99灯光下比色。
 - 
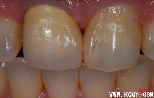
		4. 再利用所使用瓷粉的色板再剖析牙齿的层次分析并拍照记录。(可检查內层Dentin及外层的透明层)

 - 
		5. 再拍摄自然牙的纹路或层次特征(可用45度角拍摄)特写。

 - 6. 比完颜色后,需要记录颜色构造图。
 - 
		7. 使用Adobe photoshop CS2软件里面的矫正照片的中间色调(128,128,128),再利用其R、G、B的色彩值,比较接近天然的色系。
(p.s. R、G、B值在误差+10和-10时,顏色就很接近。) - 
		8. 完成后,可請医师也能放一张灰卡,另一张为假牙的特写照片,可当成记录或是检讨改进的资讯。


 
P.S.建议使用的工具如下:
1.数码相机 2.各式比色板 3.使用瓷粉本身的色板 4.牙肉支撑架 5.灰卡
6.演色值Ra99灯管 7.Adobe photoshop CS 软件
TAGS:比色板 
 
         
	    
	   	
		
        
		 
	     
            
		    0% (0)
            
	      
		  
            
	        0% (10) 
		
发表评论
用户评论推荐文章
热门文章
热销排行
             