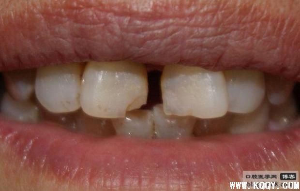
超薄瓷贴面美学修复---鼎易技工室
	           
			    
				  核心提示:超薄瓷贴面美学修复---鼎易技工室
	             相关阅读:
TAGS: 
 
         
	    
	   	
		
        
		 
	     
            
		    0% (0)
            
	      
		  
            
	        0% (10) 
		
发表评论
用户评论推荐文章
热门文章
热销排行
             






