安氏II类错颌(下颌后缩),常用功能性矫治器-肌激动器进行矫治,自本篇起用系列博文介绍肌激动器的详细介绍及临床使用。
安氏II类错颌(下颌后缩),需要在快速生长发育期前进行干预矫治。
正畸引导是否能改变TMJ的结构来影响下颌骨的位置一直是多年来正畸医生的兴趣所在,并存在争议的观点。
1880年Kingsley在下颌后缩病例的治疗中提出了“跳咬合”的概念。受Kingsley的思想影响了下颌功能矫形的发展。最早的肌激动器(Activator)由Andresen使用(1908),带有垂直翼板延伸至下牙的舌面。用这种方法治疗了成千上万的病例,100年之后的今天,能否获得永久性的下颌前伸位置依然是争论的话题。
Andresen的概念中一个重要的概念就是下前牙不能唇倾,否则则意味着肌激动器治疗的失败。
受Kingsley提出的概念和启发,Andresen发明了一种活动的、固位较松的改良型矫治器,能将肌功能刺激传递给颌骨、牙和支持组织。Andresen的女儿使用固定矫治器治疗远中错颌结束后在暑假戴用的保持器。他把这种经过不断改良的保持器成为生物机械作用保持器。
H?upl是一位牙周医师和组织学家,Andresen的功能保持器获得的疗效给他留下深刻的印象,引发了他探究由此引起的组织学变化的兴趣,他开始确信这种装置在自然力量传递到下颌骨、牙齿和周围组织从而刺激生长。他认为Roux的骨改建理论是一个有力的临床证据。由于该装置能激活肌肉的力量因此称之为肌激动器(Activator)。
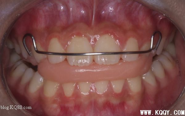
肌激动器口内观
1 Andresen和H?upl设计的原始肌激动器
头帽式肌激动器,对于上颌骨的生长控制比较有利
2 在导下颌向前的矫治过程中髁突和关节窝发生改建,箭头指示粘弹力的传导方向
3.髁突与骨骺的组织学区别
5 A,使下颌向前的离散的生长矢量;B,肌激动器对关节的作用,使髁突向前下移位;C,髁突的生长改建;D,关节窝的生长改建
6 肌激动器矫治原理
7 II类1分类深覆合 颌板修整
跟我一起学习制作肌激动器吧!
先取模型
取咬合蜡,确定下颌前移的量
上颌架:反向上颌架或者右侧位上颌架
主要材料准备:
1、不锈钢丝 0.9mm直径 用于唇弓弯制 主动唇弓0.9mm直径 被动唇弓0.8mm直径
2、不锈钢丝 1.2mm直径 用于欧米茄腭弓弯制 目的是做连接体减少基托面积
3、自凝基托粉液 正畸专用 或者普通自凝基托用
4、分离剂
看图学制作吧!
下颌前伸位咬合关系转移,可以右侧位上颌架
也可以远中位,前后倒置上颌架
去除咬合蜡形侧面观
下颌模型
上颌模型
描绘导线
下颌模型咬合生长空间蜡型堆筑
下颌模型咬合生长空间蜡型堆筑侧面观
腭弓不锈钢丝直径
弯制唇弓及腭弓
弯制唇弓及腭弓
围筑基托边缘蜡堤
围筑基托边缘蜡堤后侧面观
浸泡模型
涂自凝基托树脂
自凝基托凝固后的毛坯
打磨抛光后
打磨抛光后
打磨抛光后
-------------------------------------------------------------------
病例示例一
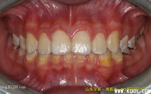
覆合覆盖
口内正位像
戴肌激动器后右侧位口内像
戴肌激动器后正位口内像
肌激动器矫正5个月的口内像变化
肌激动器矫正5个月的侧像变化(尊重患者隐私权,图像已做处理)
-------------------------------------------------------------------
病例示例二
戴用肌激动器6个月时口内像(正在继续戴用)
多言多语
肌激动器适合儿童快速生长发育期7-14岁年龄
由于个体之间的差异很大,很难通过年龄判断患者是否存有生长发育潜能,医生应该根据每位患者的具体情况,身高增长情况、手腕片、颈椎片和牙列的发育情况来确定生长发育阶段,而不是患者的年龄,来决定矫正时机。
临床上各个患者进入青春期的时间不同,男女性别差别位2年左右。
肌激动器能否刺激下颌髁突生长的疑问
大量的实验研究及临床研究证实,矫治后的II类错合患者与未矫治的II类错合患者比较,肌激动器可使下颌长度增加,对患者的咬合关系,面部形态,美观,具有良好的作用,
双重咬合的发生
对于不合作及处于快速生长期末的患者,戴用肌激动器会有进食咀嚼做吞咽时出现下颌后退的情况。
下颌前伸距离
通常II类错合下颌前伸至前牙切对切的位置,但大多数情况下前伸的幅度不应超过7~8mm,或不超过第一恒磨牙近远中向范围四分之三。建议的的下颌前伸量为3~4mm,咬合打开2~4mm,随着咬合的改善,进一步调改肌激动器或重做肌激动器。
对于覆盖多大的病例,下颌前伸应分2~3个阶段进行。
上颌切牙严重唇倾病例,如果可能,可以采用其他矫治方法竖直前牙后再戴用肌激动器。
夜间戴用还是全天戴用?
睡眠时与白天清醒时各种头位产生的肌力不同,白天患者可主动前伸下颌,而夜间睡眠时下颌一般为被动前伸,两者产生的肌力不同,由于人体的体位、头位在随时变化,白天和睡眠时肌肉、神经的反应不一致。因此肌激动器夜间必须戴用,白天也应尽量增加戴矫治器的时间,或者24小时戴用,才能充分引导下颌生长,确保疗效。
相关阅读:
发表评论
用户评论





































顶(
踩(
回复